Full Mouth Rehabilitation

Smile Transformation

Complete Dentures

Smile Makeover

Smile Transformation Case

Smile Transformation Case 1

A patient aged 28 years had a concern with un esthetic crowns which were Ill fitting. Highly esthetic with camouflagestic zirconia crowns were fabricated to give her a better smile.

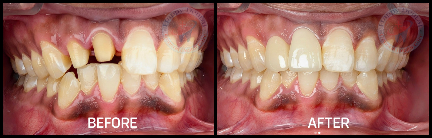
Smile Transformation Case 2

A patient aged 22 years had a trauma to upper front 2 teeth due to accident. He was more concerned about the esthetic appearance when he smile. We curated his smile with 2 zirconia crowns which matched the exact shade of his natural adjacent teeth

Teeth Alignment With Aligners

A patient aged 25 years came with chief complaint of crowded teeth in the upper front teeth. She had a bad experience with braces treatment which was painful. We at happy dental corrected her smile using Aligners( transparent trays) which are hassle free ,painless and appointment less treatment option for crowded teeth and teeth with spacings

Teeth Alignment With Aligners

A patient aged 32 years came with chief complaint of Spacings between teeth. With the time constraint he had ,as he is going to leave to UK we at happy dental successfully closed the spaces between the teeth within 5 months of Aligners treatment.

Smile Transformation Case

A patient aged 20 yrs came with chief complaint of broken teeth in the upper front region due to accident. Restored his smile back with tooth coloured composite restorations.

Smile Transformation Case

A patient aged 48 years came with chief complaint of dislodged filling which was placed 2 years back. She was reluctant to go with the crown, so we at happy dental planned a more conservative approach of INLAY restoration, were only a part of the lost tooth structure is restored.

Smile Transformation Case

A patient aged 28 years residing in USA, came to Happy Dental with low esthetic and unnatural crowns on the upper front teeth.Highly esthetic and camouflagestic crowns where given, redesigning her smile.

Smile Transformation Case

A patient aged 56 years came with a chief complaint of missing teeth in the lower front teeth region.We replaced his lower anterior teeth with a zirconia crowns which were more natural to look similar to the shade of his natural teeth.